摘要:研究发现转录因子MEF2C通过调控人类小胶质细胞的炎症反应、吞噬功能及脂质代谢等关键通路。
本研究发现转录因子MEF2C通过调控人类小胶质细胞的炎症反应、吞噬功能及脂质代谢等关键通路,在自闭症谱系障碍(ASD)和神经退行性疾病中发挥核心作用。研究结合多组学分析和功能实验,揭示了MEF2C缺失导致小胶质细胞功能紊乱的分子机制,为神经发育和衰老相关疾病的干预提供了新靶点。
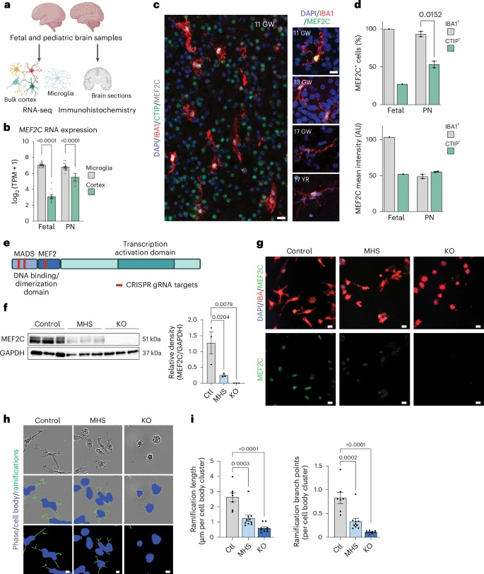
MEF2C在人类小胶质细胞中的表达与发育调控
MEF2C(肌细胞增强因子2C)是一种在神经系统发育中至关重要的转录因子,其在人类小胶质细胞中的表达模式尚不明确。通过对胎儿和出生后人脑组织的转录组分析及免疫染色研究发现,MEF2C RNA在小胶质细胞中显著富集,且几乎所有的IBA1+小胶质细胞均表达MEF2C蛋白。胎儿阶段小胶质细胞的MEF2C表达强度高于神经元,而出生后两者表达水平趋于一致。这一结果提示MEF2C在早期妊娠阶段对小胶质细胞的功能具有特别重要的作用。

图1 MEF2C在人类小胶质细胞中的转录与表观遗传学靶点—对自闭症风险及年龄相关疾病的细胞功能影响
CRISPR–Cas9编辑构建MEF2C缺陷型小胶质细胞模型
为深入研究MEF2C在小胶质细胞中的功能,研究团队利用CRISPR–Cas9基因编辑技术,在诱导多能干细胞(iPS细胞)中构建了MEF2C单倍体不足(MHS)和完全敲除(KO)的等基因细胞系,并进一步将其分化为诱导小胶质细胞(iMG)。Western blot和免疫染色结果证实,MEF2C蛋白的表达呈剂量依赖性下降。形态学分析显示,MEF2C缺失导致小胶质细胞分支长度和复杂性显著降低,同时CD45表达上升、CX3CR1表达略有下降,表明MEF2C可能参与调控小胶质细胞的稳态维持。
MEF2C调控炎症及疾病相关基因表达
RNA测序分析显示,MEF2C-KO iMG中共有964个基因上调、606个基因下调。上调基因富集于免疫激活、吞噬体功能、溶酶体功能和脂质代谢等相关通路,而下调基因则与细胞黏附、突触组织和淋巴细胞分化等功能相关。此外,MEF2C缺失还导致小胶质细胞稳态相关基因(如TMEM119和CX3CR1)表达下降。通过Ingenuity Pathway Analysis(IPA)预测,LPS和TNF可能是MEF2C缺失所致基因表达变化的上游调控因子。
MEF2C缺陷重现神经精神疾病的转录组特征
研究团队进一步将MEF2C-KO iMG的差异表达基因与PsychEncode联盟中的自闭症(ASD)、双相障碍(BD)和精神分裂症(SCZ)脑转录组数据进行比较,发现MEF2C缺失所导致的上调基因与PsychEncode中的神经免疫模块(如NF-κB、干扰素反应和染色质修饰酶相关模块)高度重叠,这些模块在ASD患者脑中同样呈现上调状态。这一结果提示,MEF2C缺失的小胶质细胞模型可较好地模拟ASD等神经精神疾病的分子表型。
网络分析识别神经精神疾病相关基因模块
通过加权基因共表达网络分析(WGCNA),研究团队发现两个与MEF2C缺失高度正相关的基因模块:模块5(黄色模块)和模块4(浅青色模块)。模块5中的枢纽基因主要参与IFN/TGFβ信号、抗原呈递和细胞因子信号等免疫相关通路,且与ASD、衰老小胶质细胞和阿尔茨海默病(AD)相关基因集显著重叠;模块4则富集于Toll样受体(TLR)和干扰素基因信号通路,与ASD、LPS激活的小胶质细胞及AD相关基因集高度相关。这些模块的识别为解析MEF2C调控小胶质细胞功能的机制提供了重要线索。
MEF2C缺失导致溶酶体相关功能异常
功能实验证实,MEF2C-KO iMG表现出广泛的吞噬功能受损,包括对酵母聚糖A和淀粉样蛋白Aβ1–42的吞噬能力下降。此外,MEF2C缺失还引起溶酶体功能异常,表现为CD68蛋白表达上升、溶酶体质量增加(LysoTracker染色)以及LAMP1和LAMP2表达上调。这些结果表明,MEF2C缺失可能导致小胶质细胞中脂质积累和降解功能障碍,进而影响其免疫功能。

图2 MEF2C在小胶质细胞的整个发育过程中均有表达,其功能缺失会引发表型改变
MEF2C缺失诱发高炎症表型
在无炎症刺激的情况下,MEF2C-KO iMG表现出诱导型一氧化氮合酶(iNOS)和活性氧(ROS)水平升高,且炎症细胞因子(如IL-1β、IL-6、TNF和IL-8)的释放增加。干扰素相关基因评分及STAT1磷酸化水平检测进一步显示,MEF2C缺失的小胶质细胞对IFNβ刺激的反应更为敏感,表明其处于一种“预激活”状态,易于发生过度炎症反应。
MEF2C缺失模拟神经退行性疾病相关表型
基因集富集分析显示,MEF2C缺失所导致的差异表达基因与衰老小胶质细胞和AD相关基因集存在显著重叠。实验证实,MEF2C-KO iMG中β-半乳糖苷酶(β-gal)和APOE表达上升,而TREM2表达下降,同时细胞中脂滴积累(BODIPY染色)显著增加。脂质组学分析进一步表明,KO iMG中磷脂、磷脂酰乙醇胺和磷脂酰胆碱等脂质类别显著增多,这些脂质代谢异常与脑衰老及神经退行性疾病密切相关。
MEF2C调控活性增强子景观
通过ATAC–seq和H3K27ac ChIP–seq分析,研究团队发现MEF2C缺失导致超过8,000个增强子区域发生差异性乙酰化。 motif分析显示,MEF2C结合位点富集于PU.1和MEF2C motif,且与AP-1、RUNX和CEBP等小胶质细胞谱系决定因子的结合位点共存。进一步将MEF2C结合位点与差异性乙酰化区域叠加,鉴定出MEF2C直接激活、直接抑制、间接激活和间接抑制四种调控类型,表明MEF2C在小胶质细胞中主要发挥转录激活作用,且可能通过与其他转录因子(如IRF、MITF)相互作用参与炎症和溶酶体功能的调控。
MEF2C与自闭症遗传学的相关性
研究团队还将自闭症患者皮质组织中的差异性乙酰化增强子与细胞类型特异性增强子进行比对,发现这些增强子与小胶质细胞、神经元和少突胶质细胞特异性增强子均存在重叠。进一步分析显示,与MEF2C-KO iMG中活性增强子相邻的基因与自闭症相关基因存在显著重叠,提示MEF2C调控的增强子网络在ASD发病机制中可能具有重要作用。
MEF2C在体内模型中重现体外表型
通过将人iPS细胞来源的造血祖细胞移植入免疫缺陷小鼠(CSF1h/hRag2-/-Il2rg-/-),研究团队在体内验证了MEF2C缺失对小胶质细胞形态和功能的影响。结果显示,MEF2C-KO移植小胶质细胞(xMG)表现出阿米巴样形态,分支点和连接数减少,溶酶体标志物CD68和脂滴相关蛋白PLIN2表达显著上升,且电镜观察证实脂滴积累明显。这些体内实验结果与体外研究高度一致,进一步支持MEF2C在调节小胶质细胞稳态和功能中的关键作用。
讨论与展望
本研究系统解析了MEF2C在人类小胶质细胞中的转录和表观遗传调控机制,揭示了其通过调节炎症反应、吞噬功能、脂质代谢等关键通路参与ASD和神经退行性疾病的发生发展。尽管MEF2C在神经元中的功能已有较多研究,但其在小胶质细胞中的作用尚不明确。本研究不仅为理解MEF2C相关神经发育障碍的病理机制提供了新视角,也为针对小胶质细胞功能的治疗策略提供了潜在靶点。未来研究可进一步探索MEF2C在不同神经疾病模型中的作用,以及其作为治疗靶点的可行性。
参考资料
[1] Transcriptional and epigenetic targets of MEF2C in human microglia contribute to cellular functions related to autism risk and age-related disease
摘要:研究发现转录因子MEF2C通过调控人类小胶质细胞的炎症反应、吞噬功能及脂质代谢等关键通路。
本研究发现转录因子MEF2C通过调控人类小胶质细胞的炎症反应、吞噬功能及脂质代谢等关键通路,在自闭症谱系障碍(ASD)和神经退行性疾病中发挥核心作用。研究结合多组学分析和功能实验,揭示了MEF2C缺失导致小胶质细胞功能紊乱的分子机制,为神经发育和衰老相关疾病的干预提供了新靶点。
MEF2C在人类小胶质细胞中的表达与发育调控
MEF2C(肌细胞增强因子2C)是一种在神经系统发育中至关重要的转录因子,其在人类小胶质细胞中的表达模式尚不明确。通过对胎儿和出生后人脑组织的转录组分析及免疫染色研究发现,MEF2C RNA在小胶质细胞中显著富集,且几乎所有的IBA1+小胶质细胞均表达MEF2C蛋白。胎儿阶段小胶质细胞的MEF2C表达强度高于神经元,而出生后两者表达水平趋于一致。这一结果提示MEF2C在早期妊娠阶段对小胶质细胞的功能具有特别重要的作用。

图1 MEF2C在人类小胶质细胞中的转录与表观遗传学靶点—对自闭症风险及年龄相关疾病的细胞功能影响
CRISPR–Cas9编辑构建MEF2C缺陷型小胶质细胞模型
为深入研究MEF2C在小胶质细胞中的功能,研究团队利用CRISPR–Cas9基因编辑技术,在诱导多能干细胞(iPS细胞)中构建了MEF2C单倍体不足(MHS)和完全敲除(KO)的等基因细胞系,并进一步将其分化为诱导小胶质细胞(iMG)。Western blot和免疫染色结果证实,MEF2C蛋白的表达呈剂量依赖性下降。形态学分析显示,MEF2C缺失导致小胶质细胞分支长度和复杂性显著降低,同时CD45表达上升、CX3CR1表达略有下降,表明MEF2C可能参与调控小胶质细胞的稳态维持。
MEF2C调控炎症及疾病相关基因表达
RNA测序分析显示,MEF2C-KO iMG中共有964个基因上调、606个基因下调。上调基因富集于免疫激活、吞噬体功能、溶酶体功能和脂质代谢等相关通路,而下调基因则与细胞黏附、突触组织和淋巴细胞分化等功能相关。此外,MEF2C缺失还导致小胶质细胞稳态相关基因(如TMEM119和CX3CR1)表达下降。通过Ingenuity Pathway Analysis(IPA)预测,LPS和TNF可能是MEF2C缺失所致基因表达变化的上游调控因子。
MEF2C缺陷重现神经精神疾病的转录组特征
研究团队进一步将MEF2C-KO iMG的差异表达基因与PsychEncode联盟中的自闭症(ASD)、双相障碍(BD)和精神分裂症(SCZ)脑转录组数据进行比较,发现MEF2C缺失所导致的上调基因与PsychEncode中的神经免疫模块(如NF-κB、干扰素反应和染色质修饰酶相关模块)高度重叠,这些模块在ASD患者脑中同样呈现上调状态。这一结果提示,MEF2C缺失的小胶质细胞模型可较好地模拟ASD等神经精神疾病的分子表型。
网络分析识别神经精神疾病相关基因模块
通过加权基因共表达网络分析(WGCNA),研究团队发现两个与MEF2C缺失高度正相关的基因模块:模块5(黄色模块)和模块4(浅青色模块)。模块5中的枢纽基因主要参与IFN/TGFβ信号、抗原呈递和细胞因子信号等免疫相关通路,且与ASD、衰老小胶质细胞和阿尔茨海默病(AD)相关基因集显著重叠;模块4则富集于Toll样受体(TLR)和干扰素基因信号通路,与ASD、LPS激活的小胶质细胞及AD相关基因集高度相关。这些模块的识别为解析MEF2C调控小胶质细胞功能的机制提供了重要线索。
MEF2C缺失导致溶酶体相关功能异常
功能实验证实,MEF2C-KO iMG表现出广泛的吞噬功能受损,包括对酵母聚糖A和淀粉样蛋白Aβ1–42的吞噬能力下降。此外,MEF2C缺失还引起溶酶体功能异常,表现为CD68蛋白表达上升、溶酶体质量增加(LysoTracker染色)以及LAMP1和LAMP2表达上调。这些结果表明,MEF2C缺失可能导致小胶质细胞中脂质积累和降解功能障碍,进而影响其免疫功能。

图2 MEF2C在小胶质细胞的整个发育过程中均有表达,其功能缺失会引发表型改变
MEF2C缺失诱发高炎症表型
在无炎症刺激的情况下,MEF2C-KO iMG表现出诱导型一氧化氮合酶(iNOS)和活性氧(ROS)水平升高,且炎症细胞因子(如IL-1β、IL-6、TNF和IL-8)的释放增加。干扰素相关基因评分及STAT1磷酸化水平检测进一步显示,MEF2C缺失的小胶质细胞对IFNβ刺激的反应更为敏感,表明其处于一种“预激活”状态,易于发生过度炎症反应。
MEF2C缺失模拟神经退行性疾病相关表型
基因集富集分析显示,MEF2C缺失所导致的差异表达基因与衰老小胶质细胞和AD相关基因集存在显著重叠。实验证实,MEF2C-KO iMG中β-半乳糖苷酶(β-gal)和APOE表达上升,而TREM2表达下降,同时细胞中脂滴积累(BODIPY染色)显著增加。脂质组学分析进一步表明,KO iMG中磷脂、磷脂酰乙醇胺和磷脂酰胆碱等脂质类别显著增多,这些脂质代谢异常与脑衰老及神经退行性疾病密切相关。
MEF2C调控活性增强子景观
通过ATAC–seq和H3K27ac ChIP–seq分析,研究团队发现MEF2C缺失导致超过8,000个增强子区域发生差异性乙酰化。 motif分析显示,MEF2C结合位点富集于PU.1和MEF2C motif,且与AP-1、RUNX和CEBP等小胶质细胞谱系决定因子的结合位点共存。进一步将MEF2C结合位点与差异性乙酰化区域叠加,鉴定出MEF2C直接激活、直接抑制、间接激活和间接抑制四种调控类型,表明MEF2C在小胶质细胞中主要发挥转录激活作用,且可能通过与其他转录因子(如IRF、MITF)相互作用参与炎症和溶酶体功能的调控。
MEF2C与自闭症遗传学的相关性
研究团队还将自闭症患者皮质组织中的差异性乙酰化增强子与细胞类型特异性增强子进行比对,发现这些增强子与小胶质细胞、神经元和少突胶质细胞特异性增强子均存在重叠。进一步分析显示,与MEF2C-KO iMG中活性增强子相邻的基因与自闭症相关基因存在显著重叠,提示MEF2C调控的增强子网络在ASD发病机制中可能具有重要作用。
MEF2C在体内模型中重现体外表型
通过将人iPS细胞来源的造血祖细胞移植入免疫缺陷小鼠(CSF1h/hRag2-/-Il2rg-/-),研究团队在体内验证了MEF2C缺失对小胶质细胞形态和功能的影响。结果显示,MEF2C-KO移植小胶质细胞(xMG)表现出阿米巴样形态,分支点和连接数减少,溶酶体标志物CD68和脂滴相关蛋白PLIN2表达显著上升,且电镜观察证实脂滴积累明显。这些体内实验结果与体外研究高度一致,进一步支持MEF2C在调节小胶质细胞稳态和功能中的关键作用。
讨论与展望
本研究系统解析了MEF2C在人类小胶质细胞中的转录和表观遗传调控机制,揭示了其通过调节炎症反应、吞噬功能、脂质代谢等关键通路参与ASD和神经退行性疾病的发生发展。尽管MEF2C在神经元中的功能已有较多研究,但其在小胶质细胞中的作用尚不明确。本研究不仅为理解MEF2C相关神经发育障碍的病理机制提供了新视角,也为针对小胶质细胞功能的治疗策略提供了潜在靶点。未来研究可进一步探索MEF2C在不同神经疾病模型中的作用,以及其作为治疗靶点的可行性。
参考资料
[1] Transcriptional and epigenetic targets of MEF2C in human microglia contribute to cellular functions related to autism risk and age-related disease


